Sie befinden sich hier
Inhalt
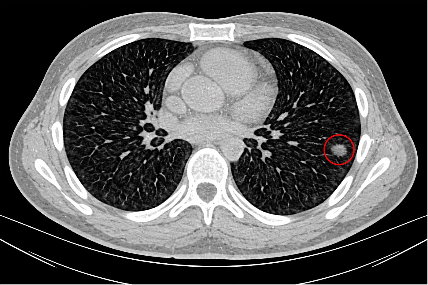
Wird eine Computertomographie (CT) des Brustkorbs zur Abklärung einer Lungen- oder Herzerkrankung durchgeführt, finden sich häufig so genannte Lungenrundherde als Zufallsbefund. Hierbei handelt es sich um rundliche scharf begrenzte Verschattungen bis zu einem Durchmesser von 3 cm, die dichter als das umgebende Lungengewebe erscheinen. Lungenrundherde verursachen in der Regel keine Beschwerden und haben glücklicherweise häufig harmlose Ursachen, die keiner Behandlung bedürfen. Dennoch kann es sich bei einem Lungenrundherd prinzipiell auch um das frühe Stadium einer bösartigen Erkrankung, insbesondere Lungenkrebs handeln.
Sollte bei Ihnen ein solcher Lungenrundherd festgestellt worden sein, können Sie sich gerne zur Beratung in unserer Rundherdsprechstunde vorstellen. Anhand der Form des Rundherds in der Computertomographie und weiteren Informationen (z. B. Alter, Vorerkrankungen, Raucherstatus) kann häufig bereits eine erste Einschätzung erfolgen, was sich hinter dem Rundherd verbirgt. Je nach vorliegenden Befunden werden wir eine Empfehlung erteilen, wie weiter mit dem Befund verfahren werden soll. Häufig ist z. B. nur eine Kontrolle des Rundherds mittels Computertomographie in einem gewissen zeitlichen Abstand erforderlich, in anderen Fällen muss eine Abklärung mittels Gewebeprobe oder die operative Entfernung erfolgen. Unklare Fälle werden in einer Fallkonferenz zusammen mit anderen Disziplinen (Radiologie, Thoraxchirurgie) diskutiert.
Bitte bringen Sie mit:
- Überweisung
- Versichertenkarte
- aktuellen Medikamentenplan
- falls vorhanden: Vorbefunde
- unbedingt: Originalbilder von Computertomographien oder Röntgenaufnahmen der Lunge (auf CD oder als Abrufcode)
Terminvereinbarung:
Sprechstunden:
Termine nach Vereinbarung
Standort:
Haus 13, Ebene 1
Sektionsleiter Pneumologie