Sie befinden sich hier
Inhalt
Die Rheumatologie ist an unserer Universitätsklinik ein zentraler Bestandteil der modernen Entzündungsmedizin. Als klinische Schnittstelle bündelt sie die Expertise zur Diagnostik und Therapie komplexer und seltener entzündlicher Systemerkrankungen. Die rheumatologische Hochschulambulanz der V. Medizinischen Klinik deckt das gesamte Spektrum rheumatologischer Erkrankungen ab. Hierzu zählen insbesondere entzündlich-rheumatische Gelenkerkrankungen wie die Rheumatoide Arthritis sowie die Gruppe der Spondyloarthritiden (z. B. axiale Spondyloarthritis oder Psoriasisarthritis), die vor allem die Wirbelsäule und Sehnenansätze betreffen.
Ein weiterer Schwerpunkt liegt auf den Kollagenosen, systemischen Autoimmunerkrankungen mit Beteiligung von Bindegewebe und Gefäßen. Dazu gehören unter anderem der Systemischer Lupus erythematodes, die Systemische Sklerose sowie z.B. das Sjögren-Syndrom. Ebenso diagnostizieren und behandeln wir Vaskulitiden aller Gefäßgrößen, also entzündliche Erkrankungen der Blutgefäße. Hierzu zählen beispielsweise Großgefäß-Vaskulitiden wie die Riesenzellarteriitis und die Takayasu-Arteriitis sowie Kleingefäß-Vaskulitiden.
Darüber hinaus betreuen wir Patientinnen und Patienten mit autoinflammatorischen Erkrankungen (z. B. Familiäres Mittelmeerfieber), bei denen eine Fehlregulation des angeborenen Immunsystems im Vordergrund steht. Ein weiterer wichtiger Bereich sind seltene immunvermittelte Erkrankungen, wie beispielsweise IgG4-assoziierte Erkrankung, die sich durch entzündliche Organvergrößerungen und fibrotische Veränderungen manifestieren können.
Ein besonderer Fokus liegt auf der ambulanten spezialfachärztlichen Versorgung mit individueller Betreuung auf höchstem universitären Spitzenniveau. Systemisch-entzündliche Erkrankungen betreffen oft mehrere Organsysteme, weshalb die interdisziplinäre Zusammenarbeit eine tragende Rolle in unserem Behandlungskonzept einnimmt.
Unsere Rheumatologie ist eng eingebunden in:
-
interdisziplinäre Spezialsprechstunden (z. B. mit der Dermatologie)
-
regelmäßige interdisziplinäre Entzündungsboards
-
Mannheimer Zentrum für Inflammationsmedizin (MaCIM)
Diese strukturierte Zusammenarbeit ermöglicht eine rasche Diagnosestellung, differenzierte Einordnung komplexer Befunde und leitliniengerechte Therapieentscheidungen.
Differentialdiagnostik – präzise, organübergreifend und ganzheitlich
Sämtliche relevanten diagnostischen Verfahren der modernen Rheumatologie und angrenzender Fachgebiete stehen gebündelt zur Verfügung und können zeitnah eingesetzt werden.
Hierzu zählen insbesondere:
-
Kapillarmikroskopie
-
hochauflösende Gelenksonographie (fester Bestandteil des klinischen Alltags)
-
bildgebende Verfahren (CT, MRT, PET-CT, FAPI PET CT, Dual Energy CT) und
-
spezialisiertes Autoimmunserologie-Labor
-
organbezogene Diagnostik in enger Kooperation mit anderen Fachdisziplinen
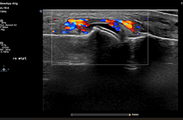
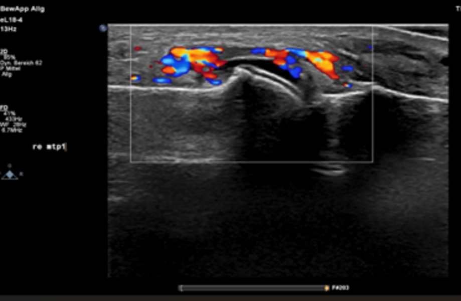
Gelenksonographie und Gelenkpunktion
Die Gelenkpunktion ist ein häufig angewendetes Verfahren, das sowohl zur Diagnostik als auch zur Behandlung von Gelenkbeschwerden eingesetzt wird, insbesondere bei Schwellung oder Schmerzen durch einen Gelenkerguss. Dabei wird unter sterilen Bedingungen mit einer feinen Nadel Flüssigkeit aus dem Gelenk entnommen, was meist nur kurz unangenehm ist. Die gewonnene Gelenkflüssigkeit wird im Labor untersucht, um die Ursache der Beschwerden zu klären, z. B. ob eine Entzündung, eine Infektion oder eine Kristallerkrankung wie Gicht vorliegt. Gleichzeitig kann die Entlastung des Gelenks oft schon zu einer deutlichen Linderung der Schmerzen führen, zusätzlich kann ein entzündungshemmendes Medikament direkt in das Gelenk eingebracht werden.
Die Gelenksonographie ist heute ein etabliertes Verfahren zur Detektion von Gelenkergüssen, Synovitis sowie Enthesitiden und ist in unserem klinischen Alltag fest in der rheumatologischen Sprechstunde implementiert. Sie hilft, Entzündungen sichtbar zu machen, die Punktion gezielt durchzuführen und kann auch typische Veränderungen bei Gicht darstellen, wodurch die Diagnose unterstützt wird.
Biologika und zielgerichtete Therapien
Neben klassischen Basistherapeutika stehen heute hochspezifische, zielgerichtete Therapien zur Verfügung, die gezielt in immunologische Signalwege eingreifen. Hierzu zählen Biologika, die als Antikörper proinflammatorische Zytokine wie TNF-α, IL-6 oder IL-1 neutralisieren oder direkt auf Immunzellen wirken (z. B. Rituximab, Abatacept). Etablierte Substanzen sind insbesondere TNF-Inhibitoren, die vor allem bei rheumatoider Arthritis, Spondyloarthritiden und Psoriasisarthritis eingesetzt werden. Ergänzend haben sich in den letzten Jahren sogenannte „targeted synthetic DMARDs“ etabliert, insbesondere Januskinase-Inhibitoren, die in die Signaltransduktion von Zytokinen eingreifen. Die Beratung für die passende Therapie erfolgt in unserer Sprechstunde.
Bitte bringen Sie mit:
- Überweisung
- Versichertenkarte
- aktuellen Medikamentenplan
- falls vorhanden: Vorbefunde bzw. kurze schriftliche Krankengeschichte
Terminvereinbarung für Bestandspatienten:
Telefon 0621/383-2675
Terminvereinbarung für Neu-Patienten:
Bitte senden Sie uns eine Terminanfrage über unser Kontakt-Formular
Sprechstunden:
Montag: 9.00 – 11.30 Uhr
Dienstag: 9.00 – 11.30 Uhr
Mittwoch: nach Vereinbarung
Donnerstag: 9.00 – 11.30 Uhr (interdisziplinäre Sprechstunde Dermatologie & Rheumatologie)
Freitag: 9.00Uhr – 11.30 Uhr (IgG4 Sprechstunde)
Standort:
Haus 11, Ebene 1
Oberärztin